矯正始めました!
こんばんは、受付の喜多です。
朝晩の冷え込みが激しくなり寒さが続いていますね
もう冬はそこまできています。
寒さが苦手な私にはつらい季節です
私ごとですが実は先月から矯正を始めました!
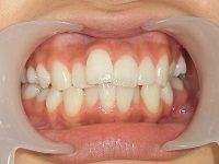
ずっと気になっていた歯並び…
今回思い切って矯正治療することにしました
人生初めての抜歯!
怖くて泣きそうでしたが副院長の冨永先生が
やさしく抜いてくださり痛くなかったです
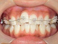
装置をつけたその日の夜から徐々にいたみがでてきました
痛くて噛めないので食事もあまりできずつらかったです
でも安心してください
1週間もすれば痛みも落ち着き噛めるようになり
食事もできるようになります!!
今は痛みもなく装置をつけている違和感もありません
これから自分の歯がどんどんキレイに並んでいくことがすごく楽しみです

