白い歯の印象
こんにちは、歯科衛生士の井上えりかです
先月セミナーで歯のホワイト二ングについて勉強してきました
皆さんは歯が白いとどんな印象が得られると思いますか?
歯が白いと、清潔的、自信が持てる、笑顔が自然、知的、若く見える、
好感度が高い、といったとても良い印象を得ることができます
私もセミナーに参加した後、ホワイト二ングを始めました(^^)/
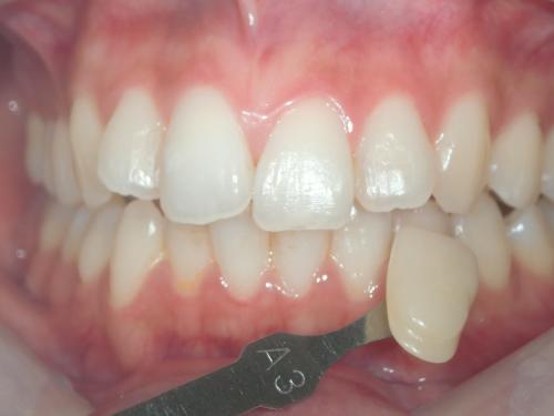
これがホワイト二ングをする前の私の歯です。
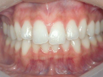
そしてこれがホワイト二ングをした後の歯です。
まだ途中段階なので分かりずらいと思いますが、だいぶ白くなりました
実際にホワイト二ングをしてみて歯が白くなるということは、美意識が上がるだけでなく
「歯を大切にしよう」という健康意識も上がると思いました
ホワイト二ングに興味がある方や、やってみたいけど不安や分からない事が
ある方は詳しくご説明させていただきますので、ぜひお声がけ下さい

