お子様の成長に合わせた矯正方法が選べる小児矯正 お子様の成長に合わせた矯正方法が選べる小児矯正
ママとこどものはいしゃさん®武庫之荘院ならお子様に合わせた矯正方法が選べます! ママとこどものはいしゃさん®武庫之荘院ならお子様に合わせた矯正方法が選べます!
ネオキャップビムラー ネオキャップビムラー
当院の特徴 当院の特徴
医療法人真心会グループが選ばれる理由 医療法人真心会グループが選ばれる理由 医療法人真心会グループが選ばれる理由
私たちが担当致します。 私たちが担当致します。
比較表 比較表
比較表
症例 症例
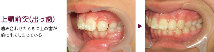
  • 上顎前突(出っ歯) 上顎前突(出っ歯)
    治療法・期間・費用・リスクはこちら
    治療法ネオキャップ+ビムラー矯正
    治療期間約3年
    治療における費用451,000円(税込)
    リスク・矯正装置を一定時間以上の装着が必要
    ・開始の適正年齢(4歳~9歳程度)があり、それを過ぎると対応できない場合がある
    ・子供の成長に合わせて変わるので全く同じように治るとは限らない
  • 上顎前突(出っ歯) 上顎前突(出っ歯)
    治療法・期間・費用・リスクはこちら
    治療法ネオキャップ+ビムラー矯正
    治療期間約4年
    治療における費用451,000円(税込)
    リスク・矯正装置を一定時間以上の装着が必要
    ・開始の適正年齢(4歳~9歳程度)があり、それを過ぎると対応できない場合がある
    ・子供の成長に合わせて変わるので全く同じように治るとは限らない
  • 上顎前突(出っ歯) 上顎前突(出っ歯)
    治療法・期間・費用・リスクはこちら
    治療法ネオキャップ+ビムラー矯正
    治療期間約3年
    治療における費用451,000円(税込)
    リスク・矯正装置を一定時間以上の装着が必要
    ・開始の適正年齢(4歳~9歳程度)があり、それを過ぎると対応できない場合がある
    ・子供の成長に合わせて変わるので全く同じように治るとは限らない
料金 料金
診療の流れ 診療の流れ
Web予約・ご相談はこちらから Web予約・ご相談はこちらから
〒673-1431
兵庫県加東市社378-25【GoogleMAP
〒673-0402
兵庫県三木市加佐1丁目44【GoogleMAP